欢迎访问甘肃中医药大学附属医院      
返回首页
科室导航
您的位置: 首页 >详细内容
瓷贴面修复
  • 发布时间:2023-06-26
  • 点击数:
  • 【字体:

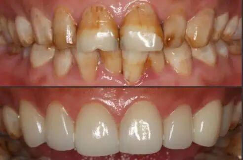
瓷贴面是口腔美学修复的一种重要手段,可以改变牙齿颜色、形态、关闭牙齿间隙等,通过尽量减少磨牙量来达到理想的美观效果。特别适用于严重的氟斑牙、四环素牙、牙齿缺损、牙齿间隙过大、牙齿不齐等。

图片

优势:

1最大限度的保护了牙体组织,不会刺激牙龈,可以保持天然牙齿长期的健康。

(2)颜色效果更好——牙体预备时可以平牙龈即可,对牙龈的刺激非常小,也不会存在金属烤瓷牙的金属离子使得牙龈变色的问题。

(3)美观、效果持久——具有良好的透明性和遮光性,因不含有任何金属成分,美学效果绝佳,不会出现烤瓷牙常见的“黑线”现象,瓷贴面本身的高耐磨性和不着色可以达到永久的美白效果。

(4)舒适不脱落——瓷贴面修复保存大部分甚至全部舌侧的形态。图片

适应症:

1.牙间隙较大;

2.牙齿排列不均、大小不一;

3. 大量使用抗生素(四环素)而变色的牙齿;

4. 前牙大小不一;

5. 前牙间隙大;

6. 侧牙畸形;

图片

图片

图片

图片

图片


电话:0931-8635008
邮编:730000
地址:兰州市城关区嘉峪关西路732号

Copyright©2009 甘肃中医药大学附属医院 All Rights Reserved.
兰州市城关区嘉峪关西路732号
电话:0931-8635008 邮编:730000

甘公网安备 62010202000821号

×

用户登录